Orthodontic Growth Modification for Children and Teens

Growth Modification in Orthodontics

What Is Growth Modification?

Growth modification refers to orthodontic treatments and appliances that help guide and balance jaw growth in children and adolescents. Unlike braces, which move the teeth, growth modification focuses on the skeletal foundation — encouraging proper development of the upper and lower jaws to create facial harmony and a healthy bite. These treatments are most effective during a child’s active growth phase, typically between ages 7 and 13, when the bones are still growing and can be gently influenced.

Why Growth Modification Matters

  • Early correction of skeletal discrepancies: Guides the development of an underdeveloped or misaligned jaw, improving overall facial balance, bite, and profile appearance.
  • Reduced need for surgery later: By addressing jaw growth at the right age, early orthodontic intervention can often eliminate or minimize the need for jaw surgery in adulthood.
  • Improved function and airway health: Proper jaw positioning supports better chewing, speech, and breathing, contributing to overall well-being and confidence.
  • Better foundation for tooth alignment: Once jaw relationships are corrected, braces or Invisalign aligners can move teeth more efficiently and produce stable, long-lasting results.

Common Growth Modification Treatments

  • Functional appliances such as twin block, Forsus, Carrier, MARA, Herbst devices to encourage forward lower jaw growth.
  • Palatal expanders to widen a narrow upper jaw and correct crossbites.
  • Headgear or facemask therapy for guiding jaw growth in younger children.
  • Invisalign First clear aligner-based early treatments that digitally plan jaw and tooth movement.

When to Begin

The American Association of Orthodontists recommends that children have their first orthodontic evaluation by age 7. At this age, your orthodontist can identify whether growth modification is needed and plan the most effective approach before growth slows down.

Balanced Growth, Confident Smiles

At Smiles in Motion Orthodontics, our orthodontists specialize in interceptive and growth modification treatments that support healthy jaw development and facial balance. By guiding growth early, we help children achieve beautiful, functional smiles that last a lifetime — while often avoiding the need for more complex procedures later.

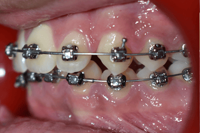
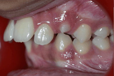
Pre-Treatment & Post-Treatment

Growth Modification with Appliances and Braces Gallery

Before Orthodontic Treatment - Crooked Teeth Correction by Smiles in Motion After Orthodontic Treatment - Straightened Smile by Smiles in Motion
Orthodontic case: Crooked teeth aligned for a confident smile.
Before Orthodontic Treatment - Crooked Teeth Correction by Smiles in Motion After Orthodontic Treatment - Straightened Smile by Smiles in Motion
Orthodontic case: Crooked teeth aligned for a confident smile.