Palatal Expander to widen upper jaw and correct bite

Palatal Expander

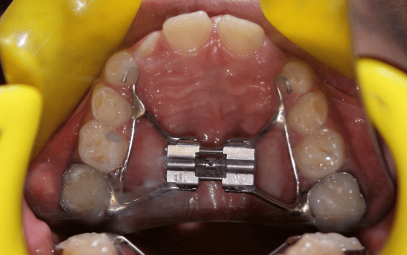
A palatal expander is a custom-made orthodontic appliance designed to gently widen the upper jaw (maxilla). This expansion helps create the necessary space for proper tooth alignment, corrects bite discrepancies such as crossbites, and improves overall jaw balance, airway function, and smile harmony.

Why Use a Palatal Expander?

  • Correct a narrow upper arch that can lead to crowding or misalignment of teeth.
  • Fix crossbites, where upper teeth bite inside the lower teeth.
  • Create space for permanent (adult) teeth to erupt in the proper position.
  • Improve breathing and airway function when a narrow palate restricts airflow.
  • Reduce the need for future extractions or complex orthodontic procedures.

Treatment Process & Timeline

  • Diagnostics & Planning: Your orthodontist begins by evaluating your child’s growth and jaw relationship using digital scans, X-rays, and study models to determine the exact amount of expansion needed.
  • Appliance Placement: The expander is custom-fabricated and then bonded or cemented to selected upper teeth, typically the molars.
  • Activation / Adjustment Phase: If using a screw-type expander, a small key is turned daily (or per protocol) to gradually widen the upper jaw. This gentle, steady force encourages new bone to form in the mid-palatal suture.
  • Retention / Stabilization Phase: After achieving the desired expansion, the appliance remains in place for several months to stabilize the new bone and prevent relapse.
  • Follow-up Orthodontic Alignment: Once expansion is complete, braces or Invisalign aligners are often used to fine-tune tooth positions and finalize your child’s smile.

Benefits of Palatal Expansion

  • Non-surgical and well-tolerated by growing patients
  • Can improve facial balance and airway health
  • Reduces future orthodontic complexity
  • Often prevents the need for permanent tooth extractions

Creating Space for Healthy Growth

At Smiles in Motion Orthodontics, we use both traditional and digital palatal expanders — including the new Invisalign Palatal Expander (IPE) — to guide jaw development comfortably and effectively. Our digital approach ensures precise planning, predictable results, and minimal discomfort, helping your child achieve a balanced bite and confident smile.